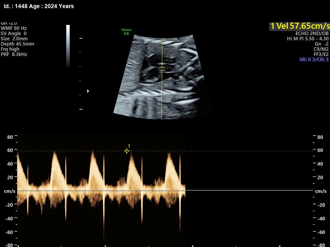
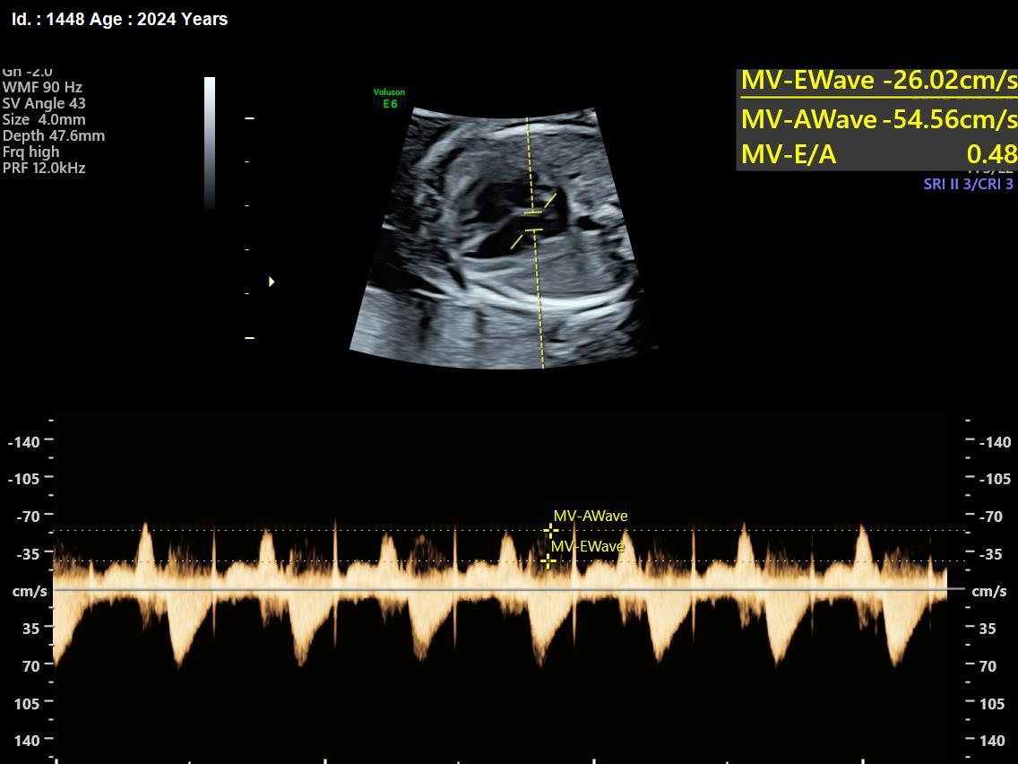
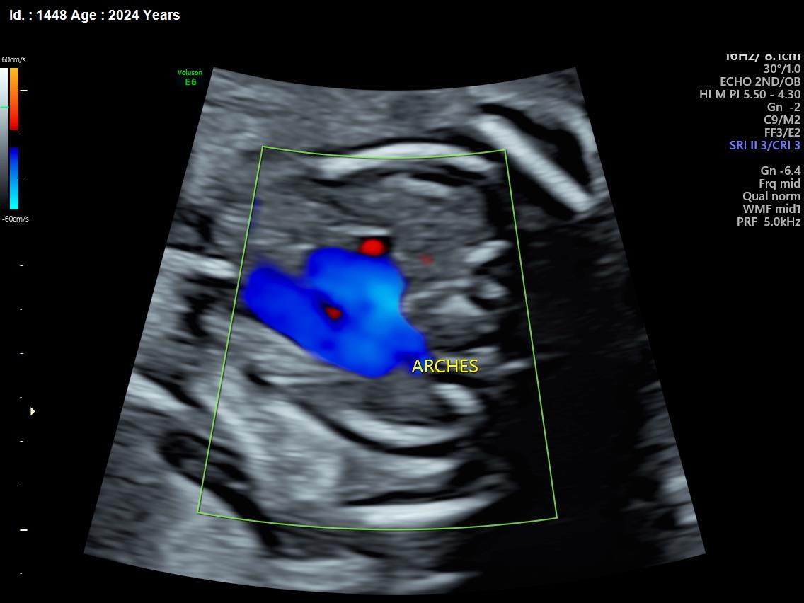
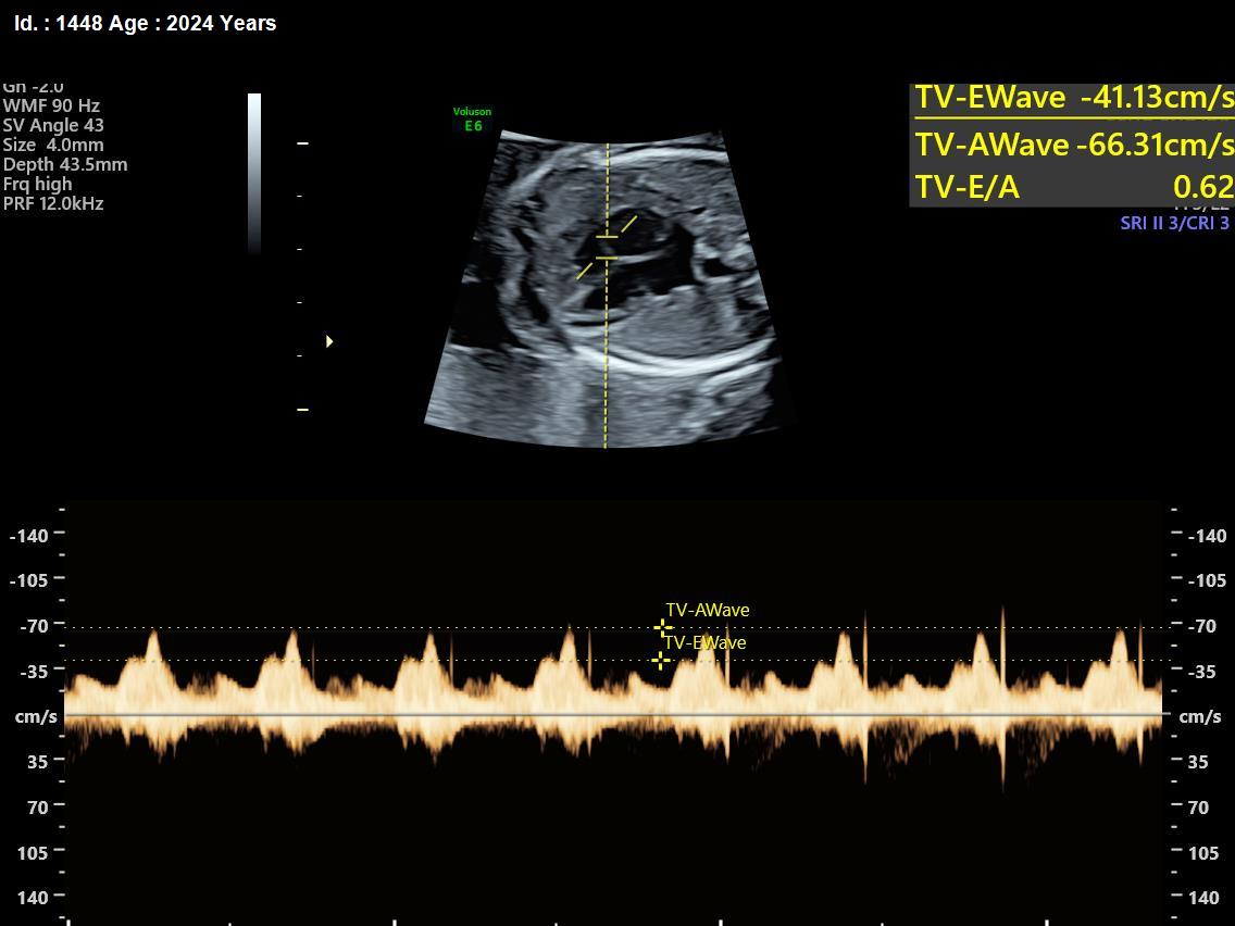
It is a test similar to ultrasound. It allows the doctor to see structure and function of the baby’s heart in detail. It also enables the doctor to see blood flow through fetal heart and cardiac rhythm. The scan is done by a radiologist or a fetal medicine specialist.
A fetal echocardiogram focuses specifically on the fetal heart, providing a detailed examination of its structure and function. In contrast, a standard ultrasound assesses overall fetal development and growth.
The procedure typically lasts about 30 to 60 minutes. The time can vary depending on the complexity of the heart assessment.
Experience quality healthcare in Guwahati. Book an appointment today.
AVA Clinic
Copyright © 2024 All rights reserved. Designed by Futurists.in